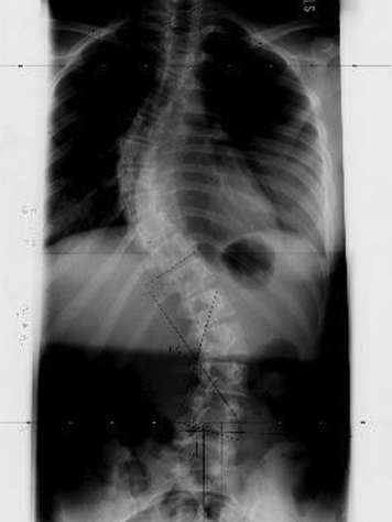
Un rayon X est un type de radiation qui passe à travers le corps. Il donne au chirurgien des renseignements sur la taille, la forme et l’emplacement des os de la colonne vertébrale. On l’appelle aussi radiographie. Les radiographies sont de loin l’outil diagnostique le plus fréquemment utilisé pour la scoliose. Elle en dit beaucoup au chirurgien, dont la plus importante, l’ampleur de la courbure de votre adolescent.

On demandera à votre adolescent, qui portera une chemise d’hôpital, de se tenir debout près du film. On lui demandera de rester immobile pendant 2 à 3 secondes, pour ne pas que l’image soit floue. L’appareil sera allumé pendant une fraction de seconde. Des rayons X traverseront la colonne de votre adolescent pour que l’image soit imprimée sur le film. Le film de radiographie, tout comme un film d’appareil photo ordinaire, sera développé en environ 10 minutes. Dans certains hôpitaux, les radiographies sont complètement numérisées, et le chirurgien les verra directement sur un ordinateur.
Votre adolescent ne sentira rien. Les radiographies ne diffusent que très peu de radiations. Pour que ce soit encore plus sûr, le technologue fournira une protection contre le rayonnement. Le type de protection nécessaire dépend du type de rayon X. Par exemple, si on souhaite des rayons X de la colonne, votre adolescent aura un écran protecteur pour la poitrine.
Plusieurs types de radiographies peuvent être faites :
- radiographie spinale postérieure-antérieure à trois pieds, c’est-à-dire une radiographie de la colonne de l’arrière vers l’avant.
- radiographie latérale à trois pieds, c'est- à dire prise sur le côté.
- Images en flexion, radiographie qui visent à tester la souplesse.
- radiographie pour déterminer l’âge des os, c’est-à-dire une radiographie de la main gauche qui vise à déterminer si votre adolescent grandit encore.
- radiographie pelvienne, c’est-à-dire une radiographie du pelvis pour déterminer si les os grandissent encore. On peut aussi faire des radiographies du coude pour déterminer la maturité des os.